【実体験】脚延長手術で身長を伸ばした僕が語る「現実と代償」🦴


こんにちは。おなす君こと、おなすな先生です🍆
今日は、これまで多く語られてこなかった
「脚延長手術のリアル」
について、実体験を踏まえてお話しします。
私は身長を伸ばしたくて行った治療ではなくあくまで交通事故の後遺症により脚長差と変形が生じてしまい決意しました。
身長で悩んできた人にとって、この手術は
「人生が変わるかもしれない」
そんな大きな希望になります。
しかし同時に、
大きな痛み・時間・代償を伴う医療行為
であることも事実です。
この記事では、良いところだけでなく
「現実」「代償」「後悔しないためのポイント」
まで、正直に伝えます。
🔷 脚延長手術とは?
太ももの骨(大腿骨)やスネ(脛骨)を切り、
器具で少しずつ引き延ばしながら骨を再生させる手術です。
- 1日に約1mm伸ばす
- 5〜8cm伸ばすのが一般的
- 完全回復まで1年以上かかる
- 感染のリスクが高い
美容目的として世界中で行われていますが、身体は当然ながら大きな負担を受けます。
🔷 僕が手術を受けようと思った理由
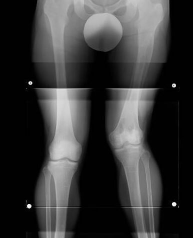
✔︎ 幼少期の交通事故の後遺症で骨端線がやられ片方の足が育たなくなり短くそして変形した(エックス脚)。脚長差も約7センチ!
✔︎ 一生後悔したくなかった。
「やらないで後悔するより やって後悔したほうがいい」と思ったし
「人生が変わるならやってみたい」
そんな想いが大きかったです。

🔷 現実その1:痛みは“想像以上”
骨を切るわけですから、痛みは避けられません。
特に伸ばす期間(約1ヶ月〜2ヶ月)は激痛の日もあります。
- 寝返りがうてない
- リハビリが必須
- 痛み止めが手放せない

🔷 現実その2:日常生活が制限される
ロフストランド杖生活が長く続きます。
- トイレ・お風呂が不便
- 長時間歩けない
- 仕事復帰まで時間がかかる
🔷 現実その3:お金がかかる
術式や国によりますが
総額500-1000万円
が一般的。
渡航費・滞在費・リハビリ費など、トータルは想像以上になります。
🔷 得られたメリット
もちろん良い面もあります。
- 脚長差がなくなった
- 姿勢が改善されることで腰痛が改善された
- 姿勢や歩き方が変わった
- 自信が増えた
- ファッションの幅が広がった
- 片方の靴だけ厚底にしないですむ(補高)
「やってよかった」と思える瞬間もたくさんあります。


🔷 それでも“代償”は大きい
脚延長手術は、
人生を変える可能性がある一方で、身体にも人生にも大きな負担をかける
ということを忘れてはいけません。
🔷 僕から伝えたいこと
迷っている人に、実体験から言いたいのはこの3つです。
1️⃣ 情報を徹底的に集めること
2️⃣ サポートしてくれる人が必要
3️⃣ 目的を“自分の幸せ”に置くこと
見栄ではなく、自分の幸福のために選択することが大切です。
📝 まとめ

脚延長手術は、人生の大きな決断。
「身長を伸ばしたい」「自分を変えたい」
そんな想いは肯定されるべきです。
しかしそれと同時に、
現実・痛み・時間・お金・後遺症のリスク
も必ず向き合う必要があります。
あなたの人生がより良くなる選択になるように、
この記事が少しでも参考になれば嬉しいです

